İskorbüt Hastalığı: C vitamini eksikliğinin tehlikeli sonucu
İskorbüt Hastalığı: C vitamini eksikliğinin tehlikeli sonucu
İskorbüt hastalığı, C vitamini eksikliğinden kaynaklanan bir hastalıktır. C vitamini, kolajen sentezi, bağışıklık sistemi fonksiyonu ve demir emilimi gibi birçok önemli vücut fonksiyonu için gereklidir. Yeterli C vitamini alınmadığında, çeşitli sağlık sorunları ortaya çıkabilir.
Haber Giriş Tarihi: 21.02.2024 16:11
Haber Güncellenme Tarihi: 21.02.2024 16:11
Kaynak:
Fethiye AKIN
İskorbüt hastalığı, C vitamini eksikliğinden kaynaklanan bir hastalıktır. C vitamini, bağışıklık sisteminin işlevini yerine getirmesi, kolajen üretimi ve demir emilimi gibi birçok önemli fonksiyona sahip bir vitamindir. Yeterli C vitamini alınmadığında, iskorbüt hastalığı gelişebilir.
İskorbüt hastalığı, C vitamini eksikliğinde görülür.
SKORBÜT HASTALIĞI NASIL GEÇER?
Skorbüt hastalığı, C vitamini takviyesi ile tedavi edilir. Doktorunuz, eksikliğinize bağlı olarak size uygun C vitamini dozunu önerecektir. C vitamini açısından zengin besinler tüketmek de hastalığın tedavisine yardımcı olur.
1 GÜNLÜK C VİTAMİNİ İHTİYACI NASIL KARŞILANIR?
1 günlük C vitamini ihtiyacı, yaş, cinsiyet ve sağlık durumuna göre değişir. Yetişkinler için ortalama günlük C vitamini ihtiyacı 75-90 mg'dır. Bu ihtiyacı karşılamak için C vitamini açısından zengin besinler tüketmek veya C vitamini takviyesi almak gerekir.
C VİTAMİNİ EKSİKLİĞİ NASIL GİDERİLİR?
C vitamini eksikliği, C vitamini açısından zengin besinler tüketmek veya C vitamini takviyesi almak suretiyle giderilir.
EN YÜKSEK C VİTAMİNİ HANGİ MEYVEDE VAR?
En yüksek C vitamini kuşburnu, ahududu, kivi, portakal ve greyfurt gibi meyvelerde bulunur.
C VİTAMİNİ ALMAK İÇİN NE YEMELİYİZ?
C vitamini almak için kuşburnu, ahududu, kivi, portakal, greyfurt, brokoli, biber ve domates gibi besinleri tüketebilirsiniz.
ISKORBÜT HASTALIĞI NEDEN OLUR?
İskorbüt hastalığı, C vitamini eksikliğinden dolayı oluşur. Yeterli C vitamini alınmadığında, kolajen üretimi bozulur, bağışıklık sistemi zayıflar ve iskorbüt hastalığının belirtileri ortaya çıkar.
Tırnak eti çekilmesi, C vitamini eksikliği dahil olmak üzere biotin, B12 vitamini ve folat eksikliği gibi çeşitli vitamin ve mineral eksikliklerinden olabilir.
C VİTAMİNİ EKSİKLİĞİNDE İSKORBÜT HASTALIĞI ORTAYA ÇIKAR MI?
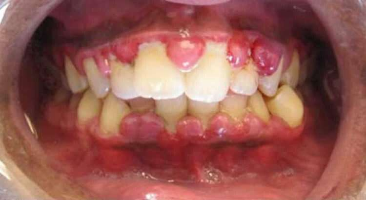
Evet, C vitamini eksikliğinde iskorbüt hastalığı ortaya çıkar. C vitamini eksikliğinin ilk belirtileri arasında halsizlik, yorgunluk, kolay morarma ve diş eti kanaması yer alır. Eksiklik ilerledikçe eklem ağrıları, ciltte lekelenme ve iskorbüt hastalığının diğer belirtileri ortaya çıkar.
İSKORBÜT HASTALIĞININ BELİRTİLERİ:
Halsizlik ve yorgunluk
Kolay morarma
Diş eti kanaması
Eklem ağrıları
Ciltte lekelenme
Kıl dökülmesi
Yavaş yara iyileşmesi
Nefes darlığı
Depresyon
Skorbüt Hastalığının Önlenmesi:
Skorbüt hastalığının önlenmesi için C vitamini açısından zengin besinler tüketmek önemlidir. Portakal, greyfurt, kivi, brokoli, biber ve domates gibi besinler C vitamini bakımından zengindir. Ayrıca, doktorunuzun önerdiği şekilde C vitamini takviyesi de alabilirsiniz.
Iskorbüt Hastalığının Tedavisi:
Iskorbüt hastalığının tedavisinde C vitamini takviyesi kullanılır. Doktorunuz, eksikliğinize bağlı olarak size uygun C vitamini dozunu önerecektir. C vitamini takviyesi yanında C vitamini açısından zengin besinler tüketmek de hastalığın tedavisine yardımcı olur.
Skorbüt Hastalığı Hakkında Bilmeniz Gerekenler:
İskorbüt hastalığı, C vitamini eksikliğinden kaynaklanan bir hastalıktır.
C vitamini, bağışıklık sisteminin işlevini yerine getirmesi, kolajen üretimi ve demir emilimi gibi birçok önemli fonksiyona sahip bir vitamindir.
Sizlere daha iyi hizmet sunabilmek adına sitemizde çerez konumlandırmaktayız. Kişisel verileriniz, KVKK ve GDPR
kapsamında toplanıp işlenir. Sitemizi kullanarak, çerezleri kullanmamızı kabul etmiş olacaksınız.
En son gelişmelerden anında haberdar olmak için 'İZİN VER' butonuna tıklayınız.
İskorbüt Hastalığı: C vitamini eksikliğinin tehlikeli sonucu
İskorbüt hastalığı, C vitamini eksikliğinden kaynaklanan bir hastalıktır. C vitamini, kolajen sentezi, bağışıklık sistemi fonksiyonu ve demir emilimi gibi birçok önemli vücut fonksiyonu için gereklidir. Yeterli C vitamini alınmadığında, çeşitli sağlık sorunları ortaya çıkabilir.
İskorbüt hastalığı, C vitamini eksikliğinden kaynaklanan bir hastalıktır. C vitamini, bağışıklık sisteminin işlevini yerine getirmesi, kolajen üretimi ve demir emilimi gibi birçok önemli fonksiyona sahip bir vitamindir. Yeterli C vitamini alınmadığında, iskorbüt hastalığı gelişebilir.
ISKORBÜT HASTALIĞI HANGİ VİTAMİN EKSİKLİĞİNDE GÖRÜLÜR?
İskorbüt hastalığı, C vitamini eksikliğinde görülür.
SKORBÜT HASTALIĞI NASIL GEÇER?
Skorbüt hastalığı, C vitamini takviyesi ile tedavi edilir. Doktorunuz, eksikliğinize bağlı olarak size uygun C vitamini dozunu önerecektir. C vitamini açısından zengin besinler tüketmek de hastalığın tedavisine yardımcı olur.
1 GÜNLÜK C VİTAMİNİ İHTİYACI NASIL KARŞILANIR?
1 günlük C vitamini ihtiyacı, yaş, cinsiyet ve sağlık durumuna göre değişir. Yetişkinler için ortalama günlük C vitamini ihtiyacı 75-90 mg'dır. Bu ihtiyacı karşılamak için C vitamini açısından zengin besinler tüketmek veya C vitamini takviyesi almak gerekir.
C VİTAMİNİ EKSİKLİĞİ NASIL GİDERİLİR?
C vitamini eksikliği, C vitamini açısından zengin besinler tüketmek veya C vitamini takviyesi almak suretiyle giderilir.
EN YÜKSEK C VİTAMİNİ HANGİ MEYVEDE VAR?
En yüksek C vitamini kuşburnu, ahududu, kivi, portakal ve greyfurt gibi meyvelerde bulunur.
C VİTAMİNİ ALMAK İÇİN NE YEMELİYİZ?
C vitamini almak için kuşburnu, ahududu, kivi, portakal, greyfurt, brokoli, biber ve domates gibi besinleri tüketebilirsiniz.
ISKORBÜT HASTALIĞI NEDEN OLUR?
İskorbüt hastalığı, C vitamini eksikliğinden dolayı oluşur. Yeterli C vitamini alınmadığında, kolajen üretimi bozulur, bağışıklık sistemi zayıflar ve iskorbüt hastalığının belirtileri ortaya çıkar.
TIRNAK ETİ ÇEKİLMESİ HANGİ VİTAMİN EKSİKLİĞİNDEN OLUR?
Tırnak eti çekilmesi, C vitamini eksikliği dahil olmak üzere biotin, B12 vitamini ve folat eksikliği gibi çeşitli vitamin ve mineral eksikliklerinden olabilir.
C VİTAMİNİ EKSİKLİĞİNDE İSKORBÜT HASTALIĞI ORTAYA ÇIKAR MI?
Evet, C vitamini eksikliğinde iskorbüt hastalığı ortaya çıkar. C vitamini eksikliğinin ilk belirtileri arasında halsizlik, yorgunluk, kolay morarma ve diş eti kanaması yer alır. Eksiklik ilerledikçe eklem ağrıları, ciltte lekelenme ve iskorbüt hastalığının diğer belirtileri ortaya çıkar.
İSKORBÜT HASTALIĞININ BELİRTİLERİ:
Halsizlik ve yorgunluk
Kolay morarma
Diş eti kanaması
Eklem ağrıları
Ciltte lekelenme
Kıl dökülmesi
Yavaş yara iyileşmesi
Nefes darlığı
Depresyon
Skorbüt Hastalığının Önlenmesi:
Skorbüt hastalığının önlenmesi için C vitamini açısından zengin besinler tüketmek önemlidir. Portakal, greyfurt, kivi, brokoli, biber ve domates gibi besinler C vitamini bakımından zengindir. Ayrıca, doktorunuzun önerdiği şekilde C vitamini takviyesi de alabilirsiniz.
Iskorbüt Hastalığının Tedavisi:
Iskorbüt hastalığının tedavisinde C vitamini takviyesi kullanılır. Doktorunuz, eksikliğinize bağlı olarak size uygun C vitamini dozunu önerecektir. C vitamini takviyesi yanında C vitamini açısından zengin besinler tüketmek de hastalığın tedavisine yardımcı olur.
Skorbüt Hastalığı Hakkında Bilmeniz Gerekenler:
İskorbüt hastalığı, C vitamini eksikliğinden kaynaklanan bir hastalıktır.
C vitamini, bağışıklık sisteminin işlevini yerine getirmesi, kolajen üretimi ve demir emilimi gibi birçok önemli fonksiyona sahip bir vitamindir.
Kaynak: Fethiye AKIN
Son Haberler
Bursaspor, Mardin 1969 Spor maçı hazırlıklarını tamamladı
Bursa Büyükşehir Belediye Başkanı Mustafa Bozbey tutuklandı!
Bursa Büyükşehir Belediye Başkanı Bozbey için tutuklama talebi!